

La pandemia llena nuestras pantallas y nuestra cabeza, pero las otras enfermedades no han desaparecido. El martes es el Día Mundial de la Leucemia Mieloide Aguda, la más frecuente de las leucemias en nuestro país, informó la Sociedad Argentina de Hematología.
“Es un número de pacientes significativo en comparación con otras enfermedades oncohematológicas, pero también una de esas enfermedades que la gente no conoce hasta que le toca de cerca. No es prevenible, pero prestar atención a potenciales síntomas y consultar sin demora ayuda a no retrasar el diagnóstico. Como avanza súbitamente, igual de rápidos deben ser la obtención y la confirmación del diagnóstico y el inicio del tratamiento; no hay tiempo que perder”, explica Isolda Fernández, jefa del Servicio de Hematología de Fundaleu.
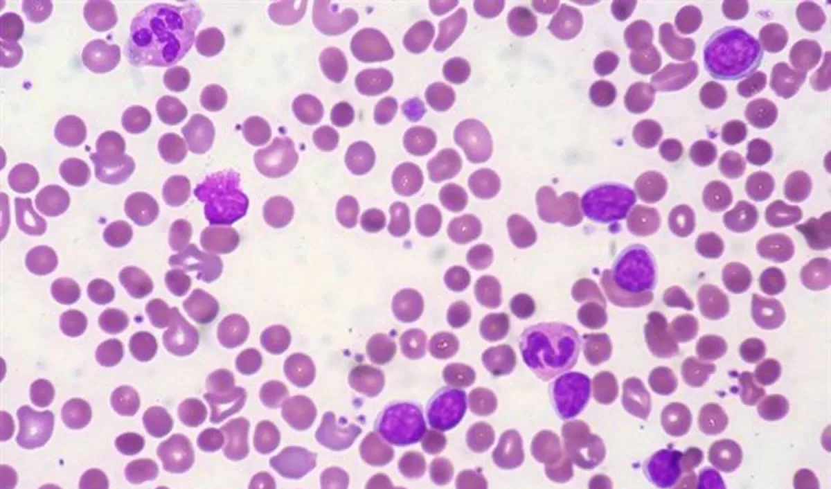
Uno de los problemas es que los síntomas (fiebre persistente, infecciones, falta de aire, debilidad, cansancio) pueden confundirse con condiciones más habituales. Por eso, ante la sospecha, debe hacerse un análisis de sangre.
“La fiebre elevada podría asociarse con covid-19 o con gripe; el análisis permite descartar otras enfermedades, como una leucemia -explicó Fernández-. Analizando luego células de médula ósea se determina el tipo de leucemia, y estudios moleculares permiten conocer el subtipo, información clave para tomar decisiones terapéuticas y establecer un pronóstico”.
El tratamiento curativo es el trasplante de médula ósea, pero no todos pueden acceder, por incompatibilidad o por su estado de salud.
Como los pacientes suelen hospitalizarse para recibir tratamiento, se recomienda en esos tiempos enfáticamente restringir visitas.







