SATISFECHOS Y FELICES. Andrea y su mamá junto a los médicos David Medina, José Demetrio López Araujo y Bruno Politi.
Todo comenzó una mañana, hace un año y medio. Andra Cata tenía 16 años. Recuerda que estaba durmiendo y, al despertarse, sintió puntadas en el brazo derecho. Le dolió mucho. Pero le restó importancia. Pensó que podía haber sido por una mala postura al descansar. O porque el día anterior había jugado a la pelota y se había caído al piso justo con esa parte del cuerpo. La joven siguió adelante con su vida, como si nada hubiera pasado. Sin embargo, nada iba a ser igual desde ese momento.
El dolor empezó a hacerse presente todos los días. Y era cada vez más insoportable. El hombro derecho se inflamaba y casi no podía moverlo. Andrea sospechó que algo no andaba bien, y se lo confesó a su mamá, Rosa Armella. Al día siguiente salieron temprano desde la casa que tienen en Rodeo Grande, un pueblo de montaña que se destaca por sus bellos paisajes de montaña y que está ubicado en Trancas. Se dirigieron al hospital de ese departamento.
En la primera consulta iba a revelarse el tamaño de su infortunio. Un médico la revisó y le indicó una radiografía. No olvidarán jamás los gestos que hizo el profesional al ver la imagen. “Tenés un tumor bastante grande y voy a tener que operarte y cortarte el brazo; es la única opción”, le dijeron. El mundo se les vino abajo en un minuto. Andrea entró en pánico. Estaba fría, pálida. Aún sin entender bien qué le pasaba, puso un pie en la vereda del hospital, miró a su mamá y le dijo: no quiero perder mi brazo. Iba a comenzar, en ese momento, un largo recorrido por distintos especialistas.
Tres horas y media es lo que demoran en colectivo desde su casa hasta la capital. Ese viaje se volvió habitual para ellas, que empezaron a golpear puertas buscando alternativas. “Como Andrea tiene PAMI (por su papá), primero fuimos a un sanatorio. Un traumatólogo le dijo que sí podía operarla, que iba a hacer quimioterapia y luego vendría la cirugía, para la cual tenían que juntar bastante dinero. Y eso hicimos”, cuenta la mamá.
Gracias a un festival solidario en el pueblo, reunieron una suma importante. Y el tumor se había achicado gracias a la quimioterapia. Sin embargo, el médico les dio una mala noticia. “Nos dijo que no se animaba a operarme”, cuenta Andrea. Recuerda ese momento con mucha tristeza. Los días pasaban. El tumor volvía a crecer. Sentía cada vez más dolor. Estaba cursando el último año en la escuela secundaria y ya no quería ir más. “Todos se burlaban de mí, por el hombro deforme. Me costaba hasta caminar, me cansaba mucho porque el tumor era muy grande y yo había bajado bastante de peso; no tenía ánimo ni para comer”, describe la joven.
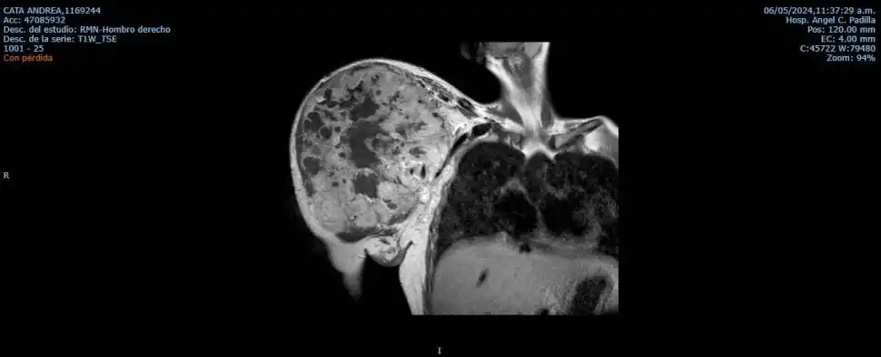
En las fotos que le tomaron por esos días se ve claramente: el tumor en su hombro tenía 30 centímetros de diámetro. Es casi el tamaño de una pelota de fútbol, según le explicaron los médicos.
Andrea y su mamá empezaron a averiguar y, por una recomendación, pidieron que les hicieran una derivación al hospital Padilla. Por intermedio del ministro de Salud, Luis Medina Ruiz, accedieron al equipo de ortopédica oncológica del Padilla, que integran los doctores José Demetrio López Araujo (encargado del sector tumores), David Medina y Bruno Politi (jefe del banco de tejidos del nosocomio).
“Ellos me devolvieron la esperanza y las ganas de vivir”, reconoce Andrea. Desde un comienzo, los profesionales admitieron que estaban ante un gran desafío. El mal que tenía Cata se denomina “tumor de células gigantes”. Se caracteriza por crecer rapidísimo e invadir los tejidos, describieron.
“El tumor era muy agresivo y crecía cada vez más. La paciente ya había hecho quimioterapia y no respondía más a ese tratamiento. Era tan grande que estaba apretando el pulmón y estaba por llegar al corazón. No había opción; teníamos que operarla sí o sí”, repasa López Araujo.
ANTES Y DESPUES. Las radiografías muestran cómo quedó el hombro de Andrea.
Los doctores no le dieron mucho tiempo para pensar. Le dijeron a Andrea y a su mamá que iban a hacer hasta lo imposible para salvarle el brazo. Pero que había riesgo. Doble riesgo: de amputación y de vida de la paciente. “No me importaba nada; ya no quería seguir viviendo así”, reconoce Cata.
Estuvo internada aproximadamente dos meses en el hospital para prepararse para la operación. Había que compensarla bien y conseguir los materiales con los que iban a reconstruir la parte del brazo afectado por el tumor.
“Teníamos que sacar el tumor completamente. En principio, cuando se planifica la cirugía, sabíamos que había altas chances de una amputación de todo el brazo y que podía perder parte del tórax”, detallan los profesionales.
Dos días
La intervención fue de altísima complejidad y se tuvo que hacer en dos días porque la paciente no iba a poder resistirla completa en una sola jornada. Comenzaron el 27 de mayo con un procedimiento que se llama embolización arterial. “Consiste en tapar las arterias que nutren al tumor para que este no sangre durante la cirugía”, explican.
Al día siguiente, estuvieron nueve horas para sacar el tumor. Durante la cirugía debieron ponerle más de 10 litros de sangre. Los médicos admiten que, en un momento, estuvieron a punto de perder el brazo. Vivieron esos minutos con mucha tensión, separando nervio por nervio para afectar lo menos posible a la paciente. Luego, tuvieron que reconstruirle el húmero y todo el espacio que ocupaba el tumor y que ahora había quedado vacío. Para ello usaron cemento quirúrgico.
“Conservarle el brazo era fundamental por varios motivos; desde el punto de vista de la biomecánica y su estabilidad y también por la parte estética. Ella ya estaba sufriendo mucho por eso, y sin un miembro, su situación emocional iba a empeorar”, analizaron.
Los profesionales detallaron que ahora, con una rehabilitación, Andrea va a poder mover su brazo y su mano, tal vez no al 100%, pero sí podrá hacerlo. El hombro, por su parte, quedó muy limitado, ya que los músculos de esa zona se vieron demasiado afectados por el tumor. En un futuro, tendrá que hacerle otra cirugía para ponerle una prótesis.
Posoperatorio
El posoperatorio de Cata incluyó varios días intubada en terapia intensiva. La recuperación fue muy lenta. Cuando le dieron el alta, la controlaron día de por medio. Por eso, se instaló a vivir en la casa de un primo en la capital. Recién ahora podrá, por fin, volver a su hogar en Rodeo Grande. Está emocionada por eso. Lo demuestra con una sonrisa que no le entra en la cara.
El tumor ha salido de su cuerpo, ya no domina su vida. Atrás quedaron los días en que se sentía un trapo, sin fuerzas. Ahora quiere recuperarse totalmente para empezar a pensar qué hará en el futuro. Todo había quedado en stand by por la enfermedad, confiesa. Le parece un sueño estar viva y tener el brazo, con una cicatriz importante, que le recordará siempre el día que volvió a nacer.
“Has sido muy valiente”, le dice el doctor Politi. “Ella y su mamá fueron muy perseverantes. Las recibí unas 80 veces en mi consultorio. El camino hacia la cirugía no fue fácil. Vienen de un lugar muy lejos, donde no hay nada. Sin embargo, nunca se rindieron; nosotros no la queríamos soltar. Lo que sentimos cuando terminó la cirugía, cuando logramos salvarle el brazo, es inexplicable”, señala el profesional, y pondera que una cirugía de esta envergadura y con la recuperación que requiere se haya hecho en un hospital público.
Todos los procedimientos estuvieron supervisados por el director del hospital, Jorge Valdecantos, y contaron con la participación de un equipo interdisciplinario. Trabajaron en él, además de López Araujo, Medina y Politi , Rafael Feldman y Luis García Nielsen, del equipo de Hemodinamia; los doctores Ivana Chalfoun y Juan Anastasio, del servicio de Cirugía de Tórax; los doctores Carolina Pedraza y Robertino Beracqua, del equipo de Cirugía Vascular, y los doctores Fabián Di Ascenci y Nicolás Silva, de Anestesiología.
Donación: cómo funciona el banco de tejidos en el hospital Padilla
En el futuro, Andrea Cata (a quien le pusieron una prótesis provisoria) podría recibir un húmero proveniente del banco de tejidos que funciona en el hospital Padilla, dirigido por el doctor Bruno Politi. Este banco procura tejido óseo humano de donante y lo almacena a menos de 80 º bajo cero. Lo procesa de acuerdo a las solicitudes de tejidos que pueden provenir de todo el país. Hay pedidos para cirugías reconstructivas, desde maxilofacial u oncológicas de huesos o por accidentes de tránsitos, de cadera de rodillas.









